研究论文
子宫内骨肉瘤为恶性苗勒管混合瘤
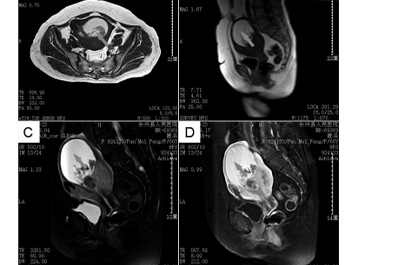
这项研究报告了1例59岁绝经后女性患子宫骨肉瘤并表现为恶性混合苗勒管肿瘤的罕见病例。通过MRI、超声检查、血清肿瘤标志物检测、手术及病理诊断等方式,对患者病情进行详细分析,并探讨了该疾病的相关特征和治疗方案。
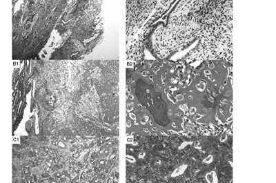
结果发现,患者经手术和病理诊断,确诊为子宫骨肉瘤合并恶性混合苗勒管肿瘤,包含子宫内膜腺癌、软组织肉瘤和骨肉瘤成分,且存在淋巴结转移,分期为IIIC2期。
该疾病临床症状不典型,易被误诊为子宫肌瘤,影像学检查难以确诊肿瘤性质。经手术切除及紫杉醇联合卡铂化疗后,患者目前无复发或转移,生活质量良好,但该疾病总体预后较差,5年总生存率仅16.3%。


